Die Welt im Wassertropfen entdecken

von Ingrid Wegscheider
06. März 2026

In den 2. Klassen lernen wir gerade die Mikroorganismen kennen. Um noch tiefer in die Welt dieser kleinsten Wesen einzutauchen, machten wir einen Ausflug in die HTL Kramsach. Mit Hilfe von Profi-Mikroskopen konnte dort entdeckt werden, welche Kleinstlebewesen im Reither See und im Hildegardgarten-Teich leben. 

Wir konnten live und hautnah lebende Wesen sehen, von denen wir vorher nur theoretisch im Unterricht gehört hatten. Schon nach den ersten Blicken durch das Mikroskop war die Begeisterung groß. In den Wassertropfen tummelte sich überraschend viel Leben.

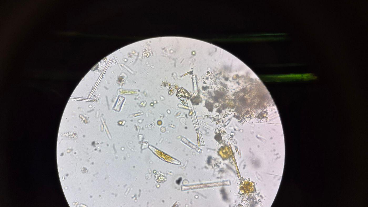
Die Kinder konnten zahlreiche Mikroorganismen beobachten. Viele Lebewesen bewegten sich, und man konnte sie richtig mit dem Mikroskop „verfolgen“.  Wimperntierchen, kleine Krebse, Würmer, Algen mit spiralförmig angeordneten Chloroplasten, wunderschön symmetrische Kieselalgen und vieles mehr tauchten unter dem Objektiv auf. Eine Schülerin sagte später:  „Ich hätte nie gedacht, dass so viele Lebewesen in einem Tropfen Wasser sind.“

Die Kinder konnten sehen, welche Vielfalt es auch im kleinsten Maßstab gibt. Außerdem lernten sie quasi nebenbei, mit dem Mikroskop umzugehen, eine wichtige Basis-Kompetenz für naturwissenschaftliches Arbeiten.

Der Ausflug zeigte eindrucksvoll: Wer genau hinschaut, kann selbst im kleinsten Wassertropfen eine ganze Welt entdecken.